〖ホワイトニングで笑顔に自信を!〗黄ばみの原因から治療法、当院のおすすめポイントまで徹底解説
黄ばみの理由と対策、当院の強みをまとめた入門記事。
続きを読む ›春日市で歯を白く|ホワイトニング|春日THREE歯科・矯正歯科
医療ホワイトニングで叶える自然な白さ
春日市でホワイトニングをお考えの方へ。当院のホワイトニングは、国内メーカー製の医療ホワイトニング薬剤を使用。専門のホワイトニングコーディネーターが常駐し、痛みやしみに配慮した安全な施術を行います。
初診日はカウンセリングと口腔内確認を行い、歯の状態やご希望の白さに合わせて最適な方法をご提案いたします。
ホワイトニングの種類

オーダーメイドのマウスピースを作製し、ご自宅で薬剤を使用して行う方法です。
ご自身のペースで進められ、白さが長持ちします。

院内で行う方法です。歯の表面に薬剤を塗布し、光を照射して漂白します。
即効性が高く、短時間で白さを実感できます。

ホームとオフィスを併用することで、即効性と持続性の両立が可能です。

神経を抜いた歯を内部から白くする方法です。
歯の中に薬剤を入れて、内側から漂白します。

喫煙やメラニン沈着による歯ぐきの黒ずみを除去し、ピンク色の健康的な歯ぐきを取り戻す施術です。
セルフホワイトニングとサロン、歯科ホワイトニングの比較
| 項目 | セルフホワイトニング | ホワイトニングサロン | 医療ホワイトニング(当院) |
|---|---|---|---|
| 施術者 | 本人がセルフ照射 | 美容スタッフ(無資格) | 歯科医師・歯科衛生士(国家資格) |
| 使用する薬剤 | 市販ジェル(漂白成分なし) | 低濃度薬剤(漂白作用は限定的) | 国内メーカー製 医療用高濃度薬剤 |
| 白くなる仕組み | 歯の表面汚れを除去 | 表面漂白で一時的に明るく見える | エナメル質内部の色素を分解・漂白 |
| 効果の持続 | 数日〜数週間 | 約1か月程度 | 3〜6か月(再着色しにくい) |
| 安全性 | 医療監修なし/自己責任 | 歯科的トラブル対応不可 | 医師監修・口腔チェック後に施術 |
| 費用の目安 | 1回 約2,000〜5,000円 | 1回 約5,000〜10,000円 | 19,800円〜(税込) |
当院が選ばれる理由
春日THREE歯科・矯正歯科では、【日本審美歯科学会認定】のホワイトニングコーディネーターが担当し、初めての方でも安心してご相談いただけます。
専門知識と技術を持つ歯科衛生士が、歯の状態やライフスタイル、ご希望の白さに合わせた最適なプランをご提案します。
使用する薬剤は、国内メーカー製の医療用ホワイトニング薬剤を採用。
歯の内部の色素までしっかり漂白し、自然で透明感のある白さへ導きます。
国産薬剤のため安全性が高く、刺激が少ないのも特徴です。
▶ 詳細はメーカー公式サイトをご覧ください
施術前には必ず歯科医師による口腔内チェックを行い、安全にホワイトニングできる状態を確認します。
むし歯や知覚過敏などがある場合も、医師が適切に対応します。
施術後はコーディネーターが色戻りを防ぐケア方法を丁寧にアドバイス。 食生活やホームケアのポイントをお伝えし、白さを長くキープできるようサポートします。 継続的なフォローで、理想の白さを保てる安心のホワイトニング体制です。
治療の流れ
※ご自宅で安全に行えるよう、初回時に使い方を丁寧にご説明しています。
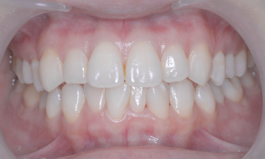
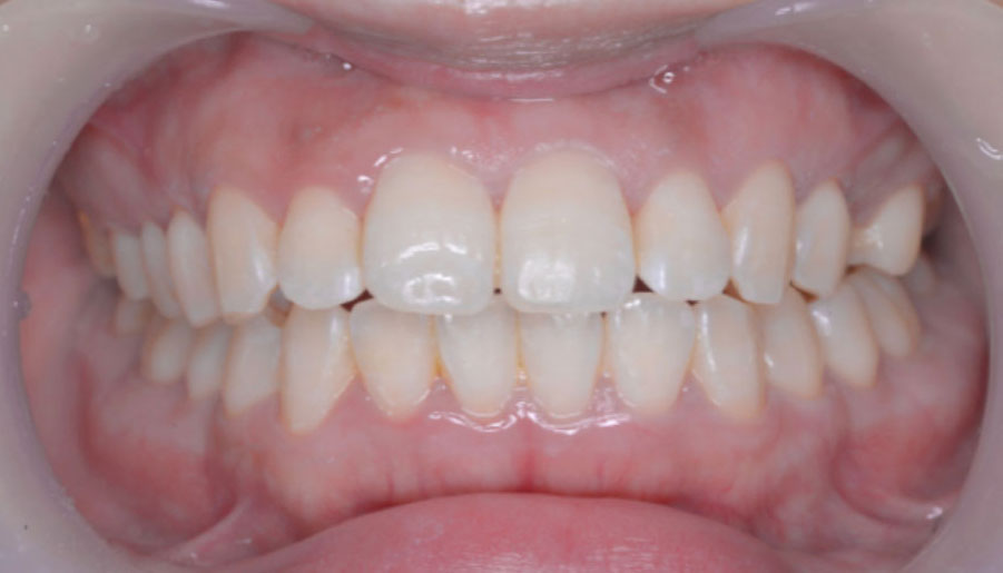
ホワイトニング症例
ホワイトニング前
オフィスホワイトニング後
■20代女性・オフィスホワイトニング施術
■治療期間(回数):1日(1回)
■施術時間: 1回につき約90分
■料金:29,800円(税込)
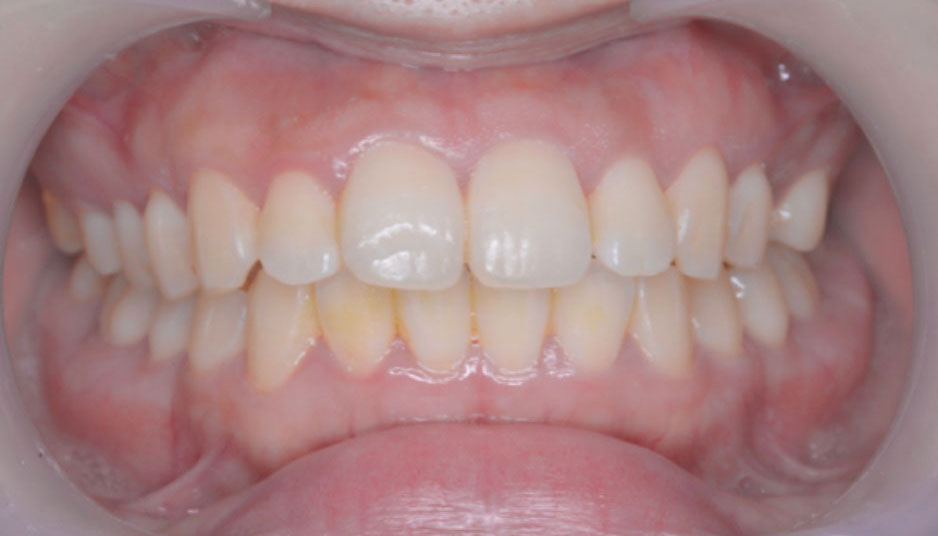
ホワイトニング前
ホームホワイトニング後
■30代女性・ホームホワイトニング施術
■治療期間(回数):治療期間3ヶ月(来院4回※メンテナンス含む)
■装着時間:1日あたり約2時間
■料金:19,800円(税込)
よくある質問(ホワイトニングQ&A)
A. 初診日はカウンセリングとお口の確認を行います。お口の状態に問題がなければ、最短で翌日以降に施術可能です。
A. 薬剤の濃度や照射時間を調整することで、しみにくく安全に施術しています。
A. 個人差はありますが、約3〜6か月です。再着色を防ぐため定期メンテナンスをおすすめしています。
A. 「ウォーキングブリーチ」により、内部から漂白して自然な白さに整えられます。
A. 薬剤の安全性が確立されていないため、妊娠・授乳中は控えていただいています。
費用・回数
日々の診療の様子やスタッフの雰囲気、症例を
ご覧いただけます。くわしくは画像をタップ!😊🌼